Gene Therapy Aims To Slow Huntington’s Disease To A Crawl
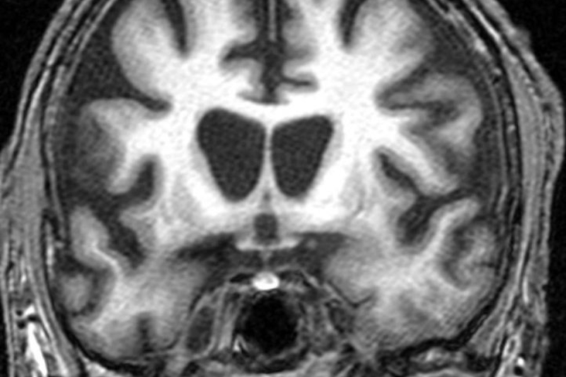
Despite the best efforts of modern medicine, Huntington’s disease is a condition that still comes with a tragic prognosis. Primarily an inherited disease, its main symptoms concern degeneration of the …read more
#hacking #projects


Hackaday
Gene Therapy Aims To Slow Huntington’s Disease To A Crawl
Despite the best efforts of modern medicine, Huntington’s disease is a condition that still comes with a tragic prognosis. Primarily an inher...
